Dental Implants in Mahadevapura
" Restore missing teeth with planned implant-Supported rehabilitation "
Replaces a missing tooth without affecting adjacent teeth.
Single Tooth Implant
Multiple implants
Replaces multiple missing teeth with stable implant support
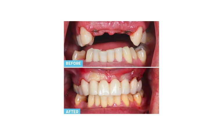
Full Arch Implant Rehabilitation
Fixed, natural-looking teeth with long term stability.
What is Dental implants?
Dental implants are the most reliable solution to replace missing teeth, restoring both function and natural appearance. A titanium implant is placed in the jawbone to act as a strong artificial root, supporting a fixed tooth that feels and functions like your own. At our clinic, implant treatments are planned with precision and modern technology to ensure stability, comfort, and long-lasting results.
Types of Dental implants :-
Why Dental implants is Important?
Dental implants are important because they provide a strong and long-term solution for replacing missing teeth. Unlike removable options, implants are fixed and function like natural teeth, allowing you to eat, speak, and smile with confidence.They also help prevent bone loss in the jaw, which usually occurs after tooth loss, and maintain the proper alignment of surrounding teeth. By preserving oral structure and restoring function, dental implants support long-term oral health and overall facial aesthetics.
Why Choose Our Clinic
Our implant treatments are guided by specialist expertise, advanced clinical technology, and structured planning to ensure safe, precise, and long-lasting results. We focus on patient comfort and deliver reliable care tailored to individual needs.
Frequently Asked Question (FAQ)
Bangalore Dental & General Polyclinic
© 2025. All rights reserved.
Connect with Us
Explore Us
More Services
Social Media
Disclaimer- The information provided on this website by Bangalore Dental & General Polyclinic, Mahadevapura is for general informational and educational purposes only and does not constitute medical or dental advice.
All dental treatments—including implants, root canal treatment, orthodontics, and surgical procedures—require proper clinical examination and may vary based on individual patient conditions. Treatment outcomes are not guaranteed and differ from case to case.
Content, images, and treatment representations on this website are for illustrative purposes only and may not reflect actual clinical results.
Use of this website does not establish a doctor–patient relationship. A consultation and clinical evaluation are required before any treatment decision.
While we strive to keep information accurate and up to date, the clinic makes no warranties regarding completeness or reliability. Any reliance on the content is at the user’s own discretion.
Bangalore Dental & General Polyclinic shall not be held liable for any direct or indirect consequences arising from the use of this website.
For personalized diagnosis and treatment, please visit the clinic. here.











