Teeth Cleaning & Teeth Whitening in Mahadevapura
" Professional cleaning for a healthier, brighter, & fresher smile "
What is Teeth Cleaning (Scaling & Polishing)?
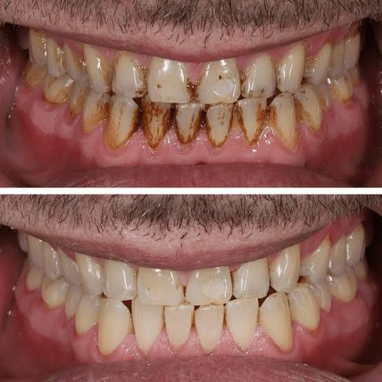
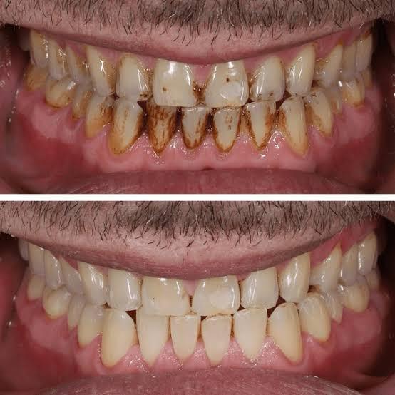
Teeth cleaning (scaling and polishing) removes plaque, tartar, and stains, helping prevent gum disease while improving oral health and appearance.
Types of Teeth Cleaning (Scaling & Polishing :-
Why Teeth Cleaning (Scaling & Polishing) is Important?
Teeth cleaning removes plaque and tartar that brushing cannot, helping prevent gum disease, bad breath, and decay while improving overall oral health and appearance.
Why Choose Our Clinic
Our teeth cleaning procedures are performed with precision using modern equipment and gentle techniques to ensure effective results with maximum comfort. We follow strict sterilization protocols and a patient-centered approach to deliver safe and hygienic care. With a focus on prevention and long-term oral health, we ensure every cleaning session is thorough, comfortable, and tailored to individual needs.
Basic cleaning procedure to remove plaque, tartar, and surface stains for regular oral hygiene maintenance.
Routine Scaling & Polishing
A gentle technique that uses a combination of air, water, and fine powder to remove stains and polish teeth for a smoother finish.
Air Polishing
Advanced cleaning for patients with gum disease, where deposits are removed from below the gum line to promote gum healing.
Deep Cleaning
Focused cleaning to eliminate external stains caused by tea, coffee, or smoking, improving the overall appearance of teeth.
Stain Removal & Polishing
Uses modern ultrasonic devices to effectively remove tartar and plaque with minimal discomfort and improved precision
Ultrasonic Scaling
Bleaching teeth
Teeth bleaching is a cosmetic dental procedure that lightens tooth color and removes stains to enhance the brightness of your smile.
Frequently Asked Question (FAQ)
Bangalore Dental & General Polyclinic
© 2026. All rights reserved.
Connect with Us
Explore Us
More Services
Social Media
Disclaimer- The information provided on this website by Bangalore Dental & General Polyclinic, Mahadevapura is for general informational and educational purposes only and does not constitute medical or dental advice.
All dental treatments—including implants, root canal treatment, orthodontics, and surgical procedures—require proper clinical examination and may vary based on individual patient conditions. Treatment outcomes are not guaranteed and differ from case to case.
Content, images, and treatment representations on this website are for illustrative purposes only and may not reflect actual clinical results.
Use of this website does not establish a doctor–patient relationship. A consultation and clinical evaluation are required before any treatment decision.
While we strive to keep information accurate and up to date, the clinic makes no warranties regarding completeness or reliability. Any reliance on the content is at the user’s own discretion.
Bangalore Dental & General Polyclinic shall not be held liable for any direct or indirect consequences arising from the use of this website.
For personalized diagnosis and treatment, please visit the clinic. here.




















